
Before & After Gallery
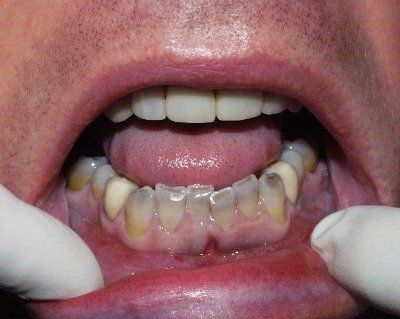
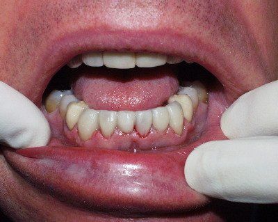
The following pictures were taken from several of my own cases over the years. The treatment choice for each varied, some needed only bondings (white fillings), others Veneers, some Implants, and others Crown and Bridge work. Regardless of material/treatment choice, the cosmetic end result was attained. Every case is unique in its treatment planning, and therefore no two cases are ever the same. As for the tooth color, that is purely a patient decision. Some desire very white teeth, while others prefer natural subtle shades. I offer my advice on what would look good for each case but ultimately the final say is up to the patient.
We’ll treat you like a
member of our
family – because you are!
Schedule your next appointment today! Call:




















